Una tomografía computarizada del hígado y las vías biliares también puede usarse para guiar las agujas durante una biopsia del hígado. Una biopsia consiste en extraer un pequeño trozo de tejido para analizarlo en el laboratorio. También puede hacerse para extraer líquido de la zona del hígado o las vías biliares.. El cáncer de hígado es un cáncer que comienza en las células hepáticas. El hígado es un órgano del tamaño de un balón de fútbol que se encuentra en la parte superior derecha del abdomen, debajo del diafragma y por encima del estómago. Se pueden formar varios tipos de cáncer en el hígado.

Colangiocarcinoma intrahepatico

Que vi hoy Cáncer de hígado
atomografía abdominal (año 2011) se observan dos masas en hígado

Imagiologia do Fígado e das Vias Biliares Concise Medical Knowledge
Quiste hidatídico hepático derecho e izquierdo TC abdominal • Imagen

Imagenología de Abdomen Hígado, vías biliares y páncreas. YouTube

Calaméo Tomografia Computada De Higado Trifasico

Tc del abdomen superior mostrar masa anormal en el hígado ( cáncer de

Traumatismo abdominal cerrado

Cholangiocarcinoma Mild acute pancreatitis Triphasic CT Scan of

Cáncer de hígado. Tomografía axial computarizada (TC) a través del

Angio TC En La Evaluación Vascular Preoperatoria Del Hígado Seram

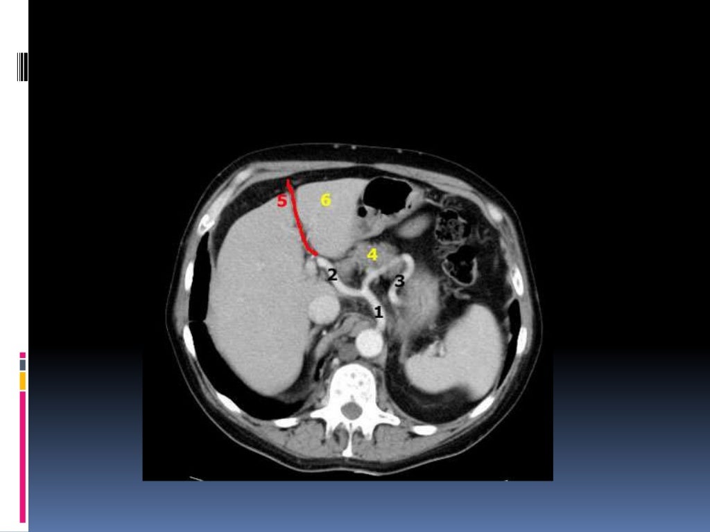
Segmentación Hepática. Breve Repaso en TC.

Colangiocarcinoma Distale Chirurgia Generale ed Epatobiliare

Apunte Cortes axiales de abdomen con tomografías Anatomía Medicina

Tac higado pancreas y vesicula biliar

06 Protocolos abdomen higado Protocolos abdomen (Parte I

Esófago Abdominal Estómago Hígado y Vías Biliares uDocz

Descubren como controlar un cáncer de hígado o colangiocarcinoma

Absceso hepático. TC abdominal con contraste en cortes secuenciales (a
Diagnóstico del cáncer de hígado. Biopsia de hígado Abrir el cuadro de diálogo emergente. Los exámenes y procedimientos utilizados para diagnosticar el cáncer de hígado incluyen los siguientes: Análisis de sangre. Los análisis de sangre pueden revelar anomalías en la función hepática. Pruebas por imágenes.. Las técnicas que se usan para diagnosticar el cáncer de conductos biliares incluyen la ecografía, la tomografía computarizada y la resonancia magnética combinadas con la colangiopancreatografía por resonancia magnética. La colangiopancreatografía por resonancia magnética se usa cada vez más como una alternativa no invasiva a la.